Picture quiz Questions

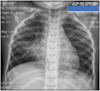
A 2-year-8 months old girl presented to the out-patient department with complaint of productive cough and tightness of chest for 1 week. She had no history of fever. She also presented with frequent history of low-grade fever and cough for months. The child also had constitutional symptoms like poor weight gain, poor appetite, and night sweating. She has no adult TB contact at home or in the neighborhood. She had a history of asthmatic bronchitis and family history of asthma. Investigations were done and her chest x-ray (AP) shows

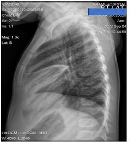
Lateral chest x-ray was also done and it shows

Question
(1) What is the probable diagnosis?
( a ) pneumonia
( b ) middle lobe syndrome
( c ) Lung resection
( d ) lung fibrosis
( e ) Pleural effusion
(2) What are causes of this condition? (Choose more than one)
( a ) asthma
( b ) foreign body aspiration
( c ) primary complex
( d ) pulmonary fibrosis
( e ) pulmonary embolism
(3) Her CBC shows mild lymphocytosis, ESR is 45, what further investigations would you like to proceed? (Can choose more than one)
( a ) Spirometry
( b ) Bronchoscopy
( c ) CT chest
( d ) nasopharyngeal swab
( e ) ECG
(4) What are the treatment options?
( a ) Antibiotics
( b ) Antituberculous treatment
( c ) Chest physiotherapy
( d ) Surgical intervention
( e ) Pleurodesis


